DENTAL IMPLANTS

PUT A SMILE BACK IN YOUR FACE WITH OUR DENTAL IMPLANTS

WHY CHOOSE US?


>    Free Implant Consultation

>    Treatment by One Dentist from Start to Finish

>    Clear implant Options Explained and illustrated

>    We use the latest, high quality dental implant systems (Bio-Horizons®)

>    Single Missing Teeth Solutions

>    Complex implants Expertise

>    Saturday Appointments available upon request

WHAT ARE DENTAL IMPLANTS?
Dental implants are a permanent solution to tooth loss and dentures. They are essentially an artificial tooth root onto which an artificial tooth is placed. The end result looks, feels and behaves like a natural tooth. Implants also provide a great alternative to dentures and can be used to replace one or more teeth, where needed.
If you have suffered from tooth loss or damage, it is highly likely that you could be benefitted from dental implants. Unlike other conventional treatments (i.e. dentures, bridges and crowns etc.), dental implants are more successful and last much longer. If you are denture wearers you probably understand the problems with uncomfortable or loose dentures. Dental implants are the closest alternative to natural teeth. Having missing teeth not only affects the person’s self-confidence, they may make it difficult to chew many types of foods, resulting in lowering the quality of life.
Losing one or more of your teeth can lead to a chain of events that could have physical and cosmetic consequences. The most obvious result is a gap in your smile. Less obvious is the loss of chewing function and the potential inability to eat a complete diet that can result from tooth loss. While these are certainly serious issues, a potentially serious problem lies hidden beneath the surface: bone loss.
Your jawbone needs the chewing action of the teeth to stimulate it and keep it strong. Otherwise it will begin to shrink (atrophy) in the same manner that the unused muscles beneath a cast supporting a broken bone get smaller. Without the support of your teeth and facial bones, your face will begin to look prematurely aged. The good news is that tooth replacement with dental implants offers a solution to help prevent bone loss
At Copper Beech Clinic, we listen to your concerns carefully and then develop a personalised treatment plan at a realistic and affordable fee. Our treatments ensure that your new teeth are fully functional, comfortable and aesthetically pleasing. We only use modern, high-grade dental implant materials and our staff are fully trained and competent in carrying out clinical procedures.

Normal profile
After Tooth loss
After bone loss
Tooth replacement options
Traditional treatment options for tooth replacement, Crown & Bridge and full or partial dentures, address the short-term cosmetic problem of missing teeth, but do nothing to stop bone loss. Crown & Bridge also requires that two or more healthy teeth be ground down to serve as posts for a bridge, leaving them at a much greater risk for cavities and endodontic failure. If the original teeth with the post fail, more healthy teeth may need to be sacrificed to serve as posts, while you continue to lose bone beneath the bridge.
With implants, however, the healthy teeth are left alone. Dental implants, like natural teeth, also transmit chewing forces to the jawbone, which reduces bone loss. This is why many leading dental organisations now recognise dental implants as the standard of care for tooth replacement
A Permanent Solution for Missing Teeth
A dental implant is a permanent solution to the problem of a missing tooth or teeth, taking the form of a stud, made from titanium, which is implanted in the jawbone. The replacement tooth is then attached to this stud, and your smile is returned to its' former glory.

Dental implants provide a permanent solution to a problem which is both unsightly as well as threatening to your long term health and well being.
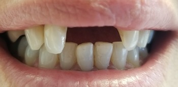
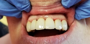
Case Study
Before
After
Case Study 2
Before
After
CONTACT US
Or fill in the details below and a member of the team will be in touch shortly
* indicates required field
Connect with us
Opening Hours

Sunday Closed
Monday 8 a.m to 5 p.m
Tuesday 8 a.m to 5 p.m
Wednesday 8 a.m to 5 p.m
Thursday 8 a.m to 5 p.m
Friday 8 a.m to 4 p.m
Saturday Closed

Please note that we are closed between 12:30 - 1.15pm for lunch during weekdays
Contact

41 Stour Road,
Christchurch
BH23 1LN
Copyright © LCH Consulting 2025