A confident smile can make all the difference
Established in 1940s in Christchurch, we have built a strong local reputation for delivering high quality dental care, cosmetic treatments and wellbeing services for the whole family. We offer the very best in modern dental care, non-surgical facial aesthetic procedures and general well-being services from a brand-new premises.

As well as providing general dental care, we also offer a wide range of specialist treatments including dental implants, smile makeovers, Crowns & Bridges, teeth whitening, medical grade botox and fillers. We pride ourselves in offering you a comprehensive dental, facial aesthetic and well-being services using the latest technology backed by years of clinical excellence and great patient care. Our dentists are well experienced in treating nervous patients.

Dental Implants
Regain confidence in your smile with High-Quality, natural looking dental implants

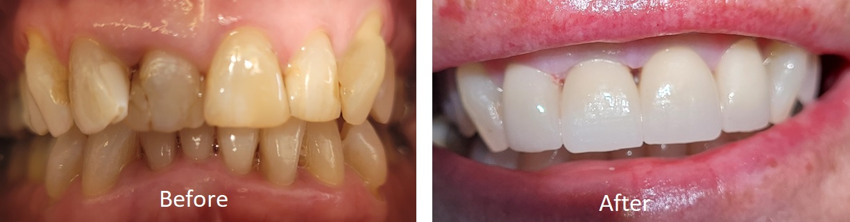
Crowns & Bridges
Custom-made dental restorations that can improve the appearance and function of your teeth

Teeth Whitening
In practice whitening applied by a dentist, or teeth whitening kits to use at home

Dental Services
We provide a wide range of general dental services for adults and children

Lip Enhancement
Full, natural-looking, beautiful lips can be yours with our lip augmentation procedures.

Anti-Wrinkle Treatments
You deserve to look and feel at your very best and we're here to help you achieve that

Dermal Fillers
Dermal fillers could improve the appearance of wrinkles, lips, and other areas of the face

Skin Peels
Medical grade skin peels promote healthy skin by gently resurfacing the outer layers of the skin
GET IN TOUCH
* indicates required field
Gallery
Before and After
★★★★★
The clinic was very clean with a nice and welcoming atmosphere. The lady doctor was excellent—very professional, kind, and gave great care. She made me feel very comfortable and pampered throughout the treatment. Highly recommend this clinic!
Children

Crowns & Bridges

Check-up

Hygienist Services

Opening Hours

Sunday Closed
Monday 8 a.m to 5 p.m
Tuesday 8 a.m to 5 p.m
Wednesday 8 a.m to 5 p.m
Thursday 8 a.m to 5 p.m
Friday 8 a.m to 4 p.m
Saturday Closed

Please note that we are closed between 12:30 - 1.15pm for lunch during weekdays
Contact

41 Stour Road,
Christchurch
BH23 1LN
Copyright © LCH Consulting 2025